Nursing home review likely to lead to mandatory minimum staffing
VANCOUVER: The B.C. government appears to be seriously considering setting mandatory minimum staff levels for… read more
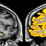
First brain scans available from worlds largest imaging study
LONDON: UK Biobank is obtaining a rich set of brain scans from thousands of participants,… read more
Research company to test medicines on children elderly and psychiatric patients
LONDON: The Center for Human Drug Research in Leiden will soon start testing medicines on… read more
Deciphering suspected non-Alzheimer pathophysiology (SNAP)
WASHINGTON: One of the classic hallmarks of Alzheimer’s disease is the sticky gobs of brain read more

















